Die Allgemeine Chirurgie umfasst vor allem die operative Versorgung von Wunden, aber auch Eingriffe im Bauchraum, wie zum Beispiel eine Magendrehung oder ein rupturierter Milztumor. Beides sind akute abdominale Notfälle.
Unsere Chirurgen decken das gesamte Leistungsspektrum der modernen Kleintierorthopädie ab. Hierzu zählen operative Eingriffe an den Gelenken sowie die chirurgische Versorgung von Frakturen. Insbesondere möchten wir darauf hinweisen, dass zur speziellen operativen Versorgung des vorderen Kreuzbandrisses beim Hund die TPLO-Methode sowie die TTA-Methode angeboten werden.
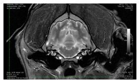
Die Abklärung neurologischer Patienten mittels Computer- und Kernspintomographie (CT- und MRT-Diagnostik) erlaubt die exakte Beurteilung von Rückenmark- und Bandscheibenveränderungen und stellt für unsere Chirurgen die Grundlage neurochirurgischer Eingriffe an der Wirbelsäule dar.
Viele nützliche Infos nach der narkose finden Sie im Downloadbereich. Wir wünschen gute Besserung.
zum Downloadbereich
Die Perinealchirurgie dient der chirurgischen Versorgung sogenannter Dammbrüche. Hierzu verwendet man sowohl synthetisches Nahtmaterial als auch körpereigenes Gewebe, um die Bruchpforte zu verschließen. Ebenso umfasst dieses chirurgische Gebiet auch die Entfernung tumoröser Entartungen im Bereich des Dammes und des Schließmuskels. Häufig betroffen sind das perianale Drüsengewebe und die Analdrüsen. Bei frühzeitiger Erkennung ist die vollständige Entfernung des entarteten Gewebes möglich.
Im Download-Center findest du das Formular zur stationären Aufnahme und weitere Formulare wie z. B. für deinen Termin bei uns.
Zum Download-Center